إرشادات مقترحات البحث معلومات خط الزمن الفهارس الوثائق الأقسام

مقاتل من الصحراء
           


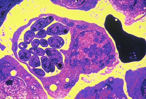
طفيل الملاريا داخل خلية من خلايا الإنسان المصاب